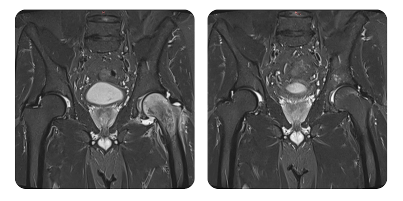
Before

After

J.A.V., 43 years old - Left femoral head edema

Basic Information

Patient name: J. A. V.
Age: 43 years old
Sex: Male
Occupation: -

Medical History

Anamnesis: The patient reports that for approximately 2 months he has had pain in the left hip radiating down to the ankle. Following an orthopedic examination and a pelvic MRI, the diagnosis was confirmed. No prior medical history. Pain intensity is 3–4/10 at rest and 7/10 during activity.
Family history: None known.

CLINICAL PRESENTATION:

Symptoms: Hip pain.
Duration: 2 months.
Aggravating factors: Lifting heavy weights at work.
Relieving factors: Rest.

Treatment History:

Current medication: None prescribed.
Previous treatments: None.

Investigations:

Results: Pelvic MRI.
Diagnosis: Left femoral head edema.

Treatment Plan:

Recommended medication: None prescribed.
Therapeutic interventions: 20 hyperbaric therapy sessions.

EVOLUTION AND PROGNOSIS:

Evolution: Condition greatly improved.

FINAL OBSERVATIONS:

A reduction of over 90% in edema is observed, correlated with clinical improvement, and the patient is considered recovered.



*The study data is confidential and has been used with the patient’s consent.