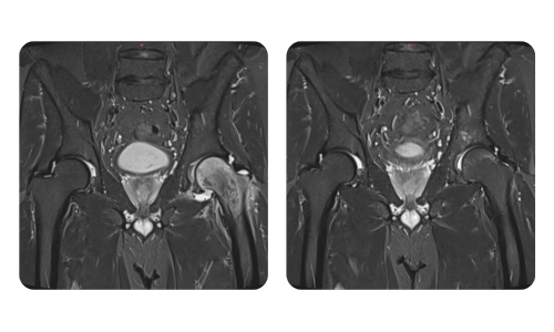
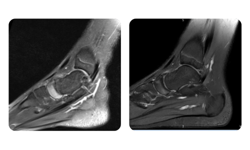
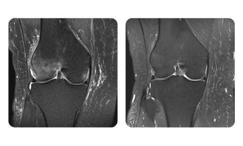
The progress of our patients, measured before and after hyperbaric therapy, reflects the efficiency and positive impact of the treatment. Discover documented results of hyperbaric therapy at Hyperbarium Oradea clinic, based on clinical evaluations and objective data that highlight significant improvements in various conditions.
Keep up to date with the latest news in hyperbaric medicine. Accurate medical information in articles verified by experienced medical specialists.