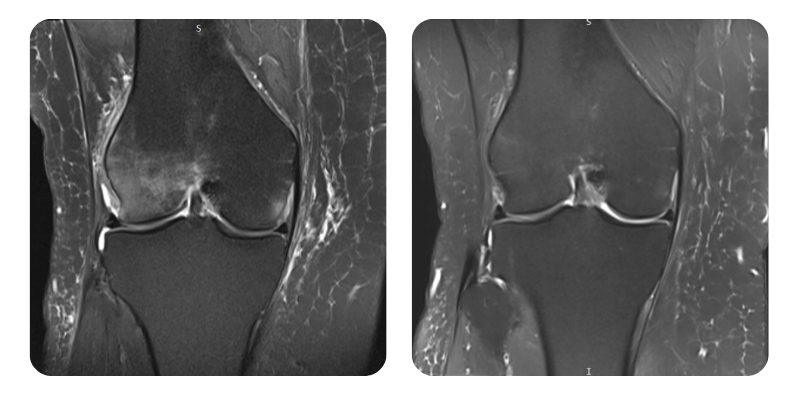
Before

After

S.M.S., 58 years old - Necrosis/Edema of the right lateral femoral condyle

Basic Information

Patient name: S. M. S.
Age: 58 years old
Sex: Female
Occupation: -

Medical History

Anamnesis: 58-year-old female patient, known with the following conditions: hypertension, diverticulosis, and atrial fibrillation treated and currently in sinus rhythm. She presents to the clinic with right knee pain rated 2/10, symptoms that began approximately 2 months ago and worsened over the past 3 weeks. During this period, the patient has taken Flamexin and other NSAIDs.
Family history: None known.

CLINICAL PRESENTATION:

Symptoms: Pain rated 2/10 in the right knee.
Duration: 2 months.
Aggravating factors: Walking.
Relieving factors: None.

Treatment History:

Current medication: None.
Previous treatments: Flamexin and other NSAIDs.

Investigations:

Results: Knee MRI.
Diagnosis: Necrosis/Edema of the right lateral femoral condyle; Post-atrial fibrillation ablation, currently in sinus rhythm; Hypertension; Diverticulosis.

Treatment Plan:

Recommended medication: None prescribed.
Therapeutic interventions: 20 hyperbaric therapy sessions.

EVOLUTION AND PROGNOSIS:

Evolution: MRI shows an approximate 90% reduction in edema.

FINAL OBSERVATIONS:

Based on the clinical situation, the patient is considered recovered.



*The study data is confidential and has been used with the patient’s consent.