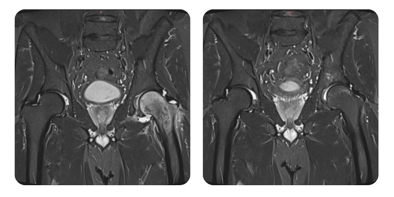
Vorher

Nachher

J.A.V., 43 Jahre – Ödem des linken Femurkopfes

Grundinformationen

Name des Patienten: J. A. V.
Alter: 43 Jahre
Geschlecht: Männlich
Beruf: -

Medizinische Vorgeschichte

Anamnese: Der Patient berichtet, seit etwa zwei Monaten Schmerzen in der linken Hüfte zu haben, mit Ausstrahlung bis zum Sprunggelenk. Nach einer orthopädischen Untersuchung und einem MRT des Beckens wurde die Diagnose gestellt. Keine Vorerkrankungen. Die Schmerzen betragen 3–4/10 in Ruhe und 7/10 bei Aktivität.
Familienanamnese: Unbekannt.

KLINISCHE PRÄSENTATION:

Symptome: Schmerzen im Hüftbereich.
Dauer: 2 Monate.
Verschlimmernde Faktoren: Heben schwerer Lasten am Arbeitsplatz.
Lindernde Faktoren: Ruhe.

Behandlungsvorgeschichte:

Aktuelle Medikamente: Keine.
Frühere Behandlungen: Keine.

Untersuchungen:

Ergebnisse: MRT des Beckens.
Diagnose: Ödem des linken Femurkopfes.

Behandlungsplan:

Empfohlene Medikation: Keine verschrieben.
Therapeutische Maßnahmen: 20 Sitzungen hyperbarer Sauerstofftherapie.

VERLAUF UND PROGNOSE:

Verlauf: Deutlich verbesserter Status.

ABSCHLIESSENDE BEMERKUNGEN:

Eine Reduktion des Ödems um über 90 % wurde festgestellt; klinisch korrelierend wird der Patient als geheilt betrachtet.



*Die Studiendaten sind vertraulich und wurden mit Zustimmung des Patienten verwendet.