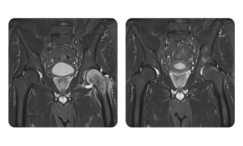
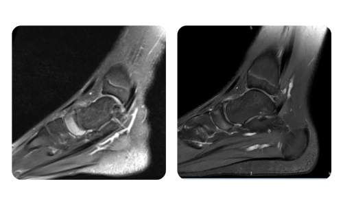
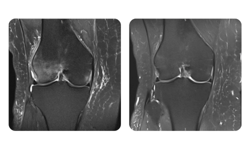
Der Fortschritt unserer Patienten, gemessen vor und nach der hyperbaren Therapie, spiegelt die Effizienz und die positive Wirkung der Behandlung wider. Entdecken Sie dokumentierte Ergebnisse der hyperbaren Therapie in der Klinik Hyperbarium Oradea, basierend auf klinischen Bewertungen und objektiven Daten, die signifikante Verbesserungen bei verschiedenen Erkrankungen belegen.
Bleiben Sie auf dem Laufenden mit den neuesten Nachrichten auf dem Gebiet der hyperbaren Medizin. Genaue medizinische Informationen in Artikeln, die von erfahrenen Fachärzten überprüft wurden.