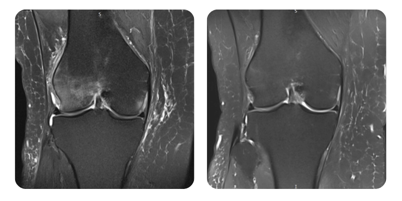
Vorher

Nachher

S.M.S., 58 Jahre – Nekrose/Ödem des lateralen rechten Femurkondylus

Grundinformationen

Name der Patientin: S. M. S.
Alter: 58 Jahre
Geschlecht: Weiblich
Beruf: -

Medizinische Vorgeschichte

Anamnese: 58-jährige Patientin, bekannt mit arterieller Hypertonie, Divertikulose und behandeltem Vorhofflimmern, aktuell im Sinusrhythmus. Sie stellt sich mit Schmerzen von 2/10 im rechten Knie vor, die vor ca. 2 Monaten begonnen haben und sich in den letzten 3 Wochen verstärkt haben. Während dieser Zeit nahm die Patientin Flamexin und andere NSAR ein.
Familienanamnese: Keine bekannt.

KLINISCHE PRÄSENTATION:

Symptome: Schmerz 2/10 im rechten Knie.
Dauer: 2 Monate.
Verschlimmernde Faktoren: Gehen.
Lindernde Faktoren: Keine.

Behandlungsvorgeschichte:

Aktuelle Medikamente: Keine.
Frühere Behandlungen: Flamexin und andere NSAR.

Untersuchungen:

Ergebnisse: MRT des Knies.
Diagnose: Nekrose/Ödem des lateralen rechten Femurkondylus, Zustand nach Vorhofflimmern mit Ablation, aktuell Sinusrhythmus, arterielle Hypertonie, Divertikulose.

Behandlungsplan:

Empfohlene Medikation: Keine verschrieben.
Therapeutische Maßnahmen: 20 Sitzungen hyperbarer Sauerstofftherapie.

VERLAUF UND PROGNOSE:

Verlauf: Im MRT zeigt sich eine Ödemreduktion von ca. 90%.

ABSCHLIESSENDE BEMERKUNGEN:

In klinischer Korrelation wird die Patientin als geheilt betrachtet.



*Die Studiendaten sind vertraulich und wurden mit Zustimmung der Patientin verwendet.