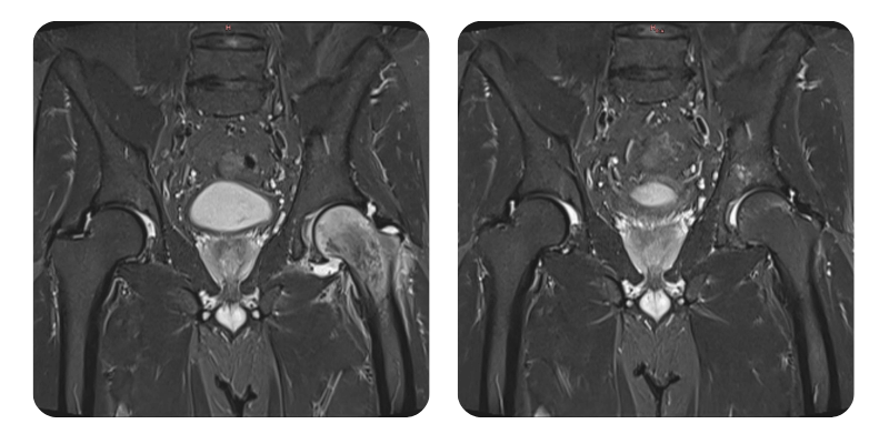
Prima

Dopo

J.A.V., 43 anni - Edema della testa femorale sinistra

Informazioni di base

Nome del paziente: J. A. V.
Età: 43 anni
Sesso: Maschile
Occupazione: -

Storia clinica

Anamnesi: Il paziente riferisce da circa 2 mesi dolore all'anca sinistra con irradiazione fino alla caviglia; successivamente, dopo una visita ortopedica con RMN del bacino, e stata evidenziata la diagnosi. Nessuna anamnesi patologica personale rilevante. Il dolore e di 3-4/10 a riposo e di 7/10 durante l'attivita.
Anamnesi familiare: Non note.

PRESENTAZIONE CLINICA:

Sintomi: Dolori a livello del anca.
Durata: 2 mesi.
Fattori aggravanti: Sollevamento di pesi sul posto di lavoro.
Fattori allevianti: Riposo.

Storico del trattamento:

Farmaci attuali: Non prescritti.
Trattamenti precedenti: Assenti.

Indagini:

Risultati: RMN del bacino.
Diagnosi: Edema della testa femorale sinistra.

Piano di trattamento:

Terapia raccomandata: Non prescritta.
Interventi terapeutici: 20 sedute di ossigenoterapia iperbarica.

EVOLUZIONE E PROGNOSI:

Evoluzione: Stato molto migliorato.

OSSERVAZIONI FINALI:

Si osserva una riduzione dell'edema superiore al 90%, in correlazione con il quadro clinico, e il paziente e considerato guarito.



*I dati dello studio sono riservati e sono stati utilizzati con il consenso del paziente.