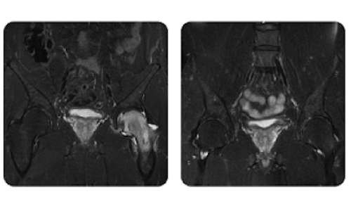
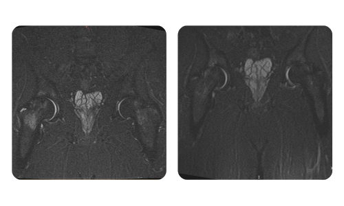
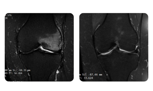
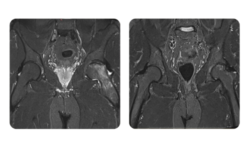
I progressi dei nostri pazienti, misurati prima e dopo la terapia iperbarica, riflettono l'efficacia e l'impatto positivo del trattamento. Scopri i risultati documentati della terapia iperbarica presso la clinica Hyperbarium Oradea, basati su valutazioni cliniche e dati oggettivi che evidenziano miglioramenti significativi in diverse condizioni.
Resta aggiornato sulle ultime novità nel campo della medicina iperbarica. Informazioni mediche accurate, in articoli verificati da medici specialisti con esperienza.