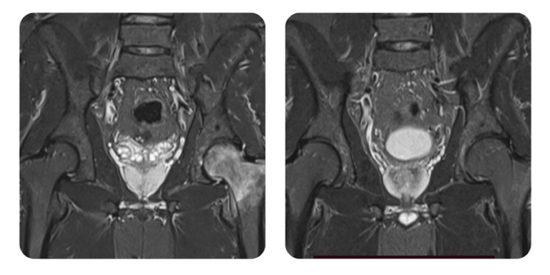
Prima

Dopo

R.M., 36 anni - Necrosi avascolare (asettica) della testa femorale, stadio 1/2

Informazioni di base

Nome del paziente: R. M.
Età: 48 anni
Sesso: Maschile
Occupazione: Marketing

Storia clinica

Anamnesi: Paziente di 47 anni che si presenta per valutazione della terapia iperbarica con diagnosi di necrosi asettica della testa femorale, stadio I/II. Ipertensione arteriosa stadio II in trattamento.
Anamnesi familiare: Non note.

PRESENTAZIONE CLINICA:

Sintomi: Dolore a livello dell'articolazione coxo-femorale sinistra, con riduzione della mobilita articolare.
Durata: Da alcuni mesi.
Fattori aggravanti: Assenti.
Fattori allevianti: Assenti.

Storico del trattamento:

Farmaci attuali: Assenti.
Trattamenti precedenti: Antinfiammatori non steroidei.

Indagini:

Risultati: RMN del bacino osseo.
Diagnosi: Necrosi asettica della testa femorale, stadio I/II secondo Arlet e Ficat.

Piano di trattamento:

Terapia raccomandata: Non prescritta.
Interventi terapeutici: 20 sedute di ossigenoterapia iperbarica.

EVOLUZIONE E PROGNOSI:

Evoluzione: Dopo 30 sedute di ossigenoterapia iperbarica, il paziente si presenta alla rivalutazione e riferisce di aver gia ripreso il lavoro; il dolore e diminuito da 8/10 a 3-4/10. Soggettivamente, si sente molto meglio.
Risultato: L'edema si e ridotto di circa il 60-70%, con comparsa di edema minimo a livello dell'acetabolo. In seguito a questo progresso, si raccomanda un ulteriore ciclo di 20 sedute.

OSSERVAZIONI FINALI:

Il paziente e programmato per una nuova rivalutazione.