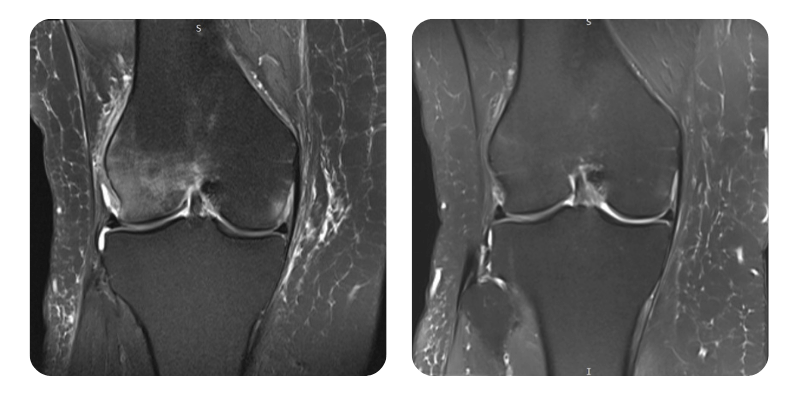
Prima

Dopo

S.M.S., 58 anni - Necrosi/edema del condilo femorale esterno destro

Informazioni di base

Nome del paziente: S. M. S.
Eta: 58 anni
Sesso: Femminile
Occupazione: -

Storia medica

Anamnesi: Paziente di 58 anni, con ipertensione, diverticolosi e fibrillazione atriale trattata, attualmente in ritmo sinusale; si presenta in clinica con dolore 2/10 al ginocchio destro. I sintomi sono iniziati circa 2 mesi fa e si sono accentuati nelle ultime 3 settimane. Durante questo periodo ha seguito terapia con Flamexin e altri FANS.
Anamnesi familiare: Non noti.

PRESENTAZIONE CLINICA:

Sintomi: dolore 2/10 a livello del ginocchio destro.
Durata: 2 mesi.
Fattori aggravanti: Cammino.
Fattori allevianti: Non presenti.

Storia del trattamento:

Farmaci attuali: Assenti.
Trattamenti precedenti: Flamexin e altri FANS.

Indagini:

Risultati: RMN del ginocchio.
Diagnosi: Necrosi/edema del condilo femorale esterno destro; post fibrillazione atriale con ablazione, attuale ritmo sinusale; ipertensione arteriosa; diverticolosi.

Piano di trattamento:

Terapia raccomandata: Nessuna prescrizione.
Interventi terapeutici: 20 sedute di terapia iperbarica.

EVOLUZIONE E PROGNOSI:

Evoluzione: Si osserva una riduzione dell'edema all'RMN di circa il 90%.

OSSERVAZIONI FINALI:

In correlazione con il quadro clinico, il caso e considerato guarito.



*I dati dello studio sono confidenziali e sono stati utilizzati con il consenso del paziente.