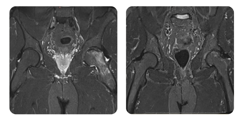
Prima

Dopo

T.K., 41 anni - Necrosi avascolare della testa femorale sinistra, stadio 2/3

Informazioni di base

Nome del paziente: T.K.
Eta: 41 anni
Sesso: Maschile
Occupazione: Imprenditore

Storia medica

Anamnesi: Il paziente, di 40 anni, presenta dolore all'anca sinistra da alcuni mesi, confermato strumentalmente alla RMN.
Anamnesi familiare: Non noti.

PRESENTAZIONE CLINICA:

Sintomi: Dolore a livello dell'anca.
Durata: Alcuni mesi.
Fattori aggravanti: Obezitate.
Fattori allevianti: Non presenti.

Storia del trattamento:

Farmaci attuali: Nessuno.
Trattamenti precedenti: Nessuno.

Indagini:

Risultati: RMN del bacino.
Diagnosi: Necrosi avascolare della testa femorale sinistra, stadio 2/3.

Piano di trattamento:

Terapia raccomandata:
Interventi terapeutici: Si raccomandano 20 sedute di HBOT con monitoraggio radiologico.

EVOLUZIONE E PROGNOSI:

Evoluzione: Dopo 2 mesi il paziente si presenta a rivalutazione: soggettivamente il dolore si e ridotto da 7-8/10 a 2-3/10 e, all'imaging, l'edema osseo si e ridotto di circa il 40%; il paziente e soddisfatto e desidera proseguire la terapia.
Dopo ulteriori 40 sedute di HBOT, il paziente si presenta a rivalutazione con RMN a un anno e riferisce scomparsa del dolore, presente solo con freddo e movimenti ampi; inizialmente il dolore era 7-8/10 e la mobilizzazione avveniva solo con stampella.
Prognosi: Buona.

OSSERVAZIONI FINALI:

Guarigione quasi completa (remissione di circa il 100%). Si raccomandano sedute di mantenimento solo al bisogno.