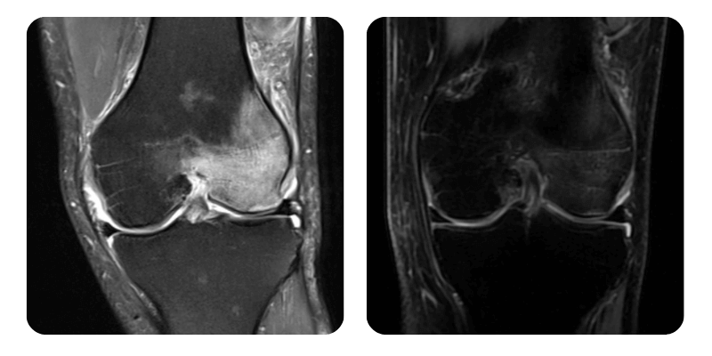
Prima

Dopo

V.I., 58 anni - Necrosi asettica del condilo femorale interno sinistro

Informazioni di base

Nome del paziente: V.I.
Eta: 58 anni
Sesso: Maschile
Occupazione: -

Storia medica

Anamnesi: Il paziente riferisce dolore al ginocchio da 2 mesi e, da poco tempo, dolore continuo. Dopo la somministrazione di antinfiammatori non steroidei, il dolore non si e risolto. Dolore 6-7/10 con limitazione funzionale.
Anamnesi familiare: Non noti.

PRESENTAZIONE CLINICA:

Sintomi: Dolore al ginocchio.
Durata: 2 mesi.
Fattori aggravanti: Assenti.
Fattori allevianti: Assenti.

Storia del trattamento:

Farmaci attuali: Aspenter, Plavix, Prestarium, Concor, Sortis, Controloc.
Trattamenti precedenti: Non presenti.

Indagini:

Risultati: RMN del ginocchio.
Diagnosi: Necrosi asettica del condilo femorale interno sinistro. Post infarto miocardico NSTEMI. Ipertensione arteriosa. Ipercolesterolemia.

Piano di trattamento:

Terapia raccomandata: Nessuna prescrizione.
Interventi terapeutici: 20 sedute di terapia iperbarica.

EVOLUZIONE E PROGNOSI:

Evoluzione: Il paziente torna a controllo dopo 20 sedute e riferisce riduzione del dolore a 1/10 (da 6-7/10), con lieve fastidio solo in alcuni movimenti. Radiologicamente si osserva riduzione dell edema di circa l 80% e significativo miglioramento clinico.

OSSERVAZIONI FINALI:

Si raccomanda controllo ortopedico e rivalutazione al bisogno. Per consolidamento si raccomanda un ulteriore ciclo di terapia iperbarica.



*I dati dello studio sono confidenziali e sono stati utilizzati con il consenso del paziente.