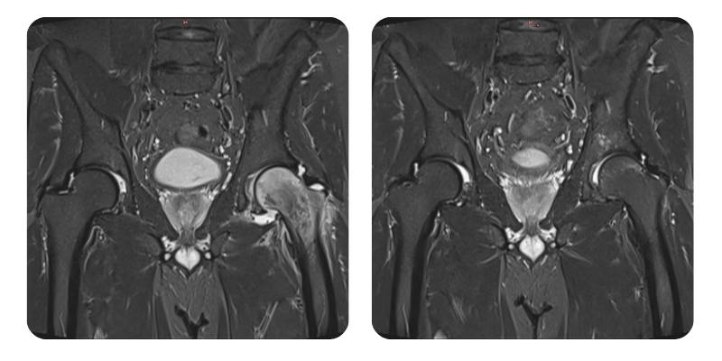
Înainte

După

J.A.V., 43 de ani - Edem cap femural stânga

Informații de bază

Numele pacientului: J. A. V.
Vârsta: 43 de ani
Sex: Masculin
Ocupație: -

Istoric medical

Anamneză: Pacientul relatează că de aproximativ 2 luni de zile are dureri în șoldul stâng cu iradiere până în gleznă, ulterior în urma unui control la ortopedie prin RMN de bazin s-a evidențiat diagnosticul. Fără APP. Durerile sunt de 3-4/10 în repaus și de 7/10 în activitate.
Antecedente familiale: Nu se cunosc.

PREZENTARE CLINICĂ:

Simptome: Dureri la nivelul șoldului.
Durată: 2 luni.
Factori agravanți: La locul de muncă ridică greutăți.
Factori amelioranți: Repausul.

Istoric de tratament:

Medicamente actuale: Nu s-au prescris.
Tratamente anterioare: Nu sunt.

Investigații:

Rezultate: RMN bazin.
Diagnostic: Edem cap femural stânga.

Plan de tratament:

Medicație recomandată: Nu s-a prescris.
Intervenții terapeutice: 20 de ședințe de terapie hiperbară.

EVOLUȚIE ȘI PROGNOSTIC:

Evoluție: Status mult îmbunătățit.

OBSERVAȚII FINALE:

Se constată o reducere a edemului de peste 90% corelat cu clinica și se consideră vindecat.



*Datele studiului sunt confidențiale și au fost folosite cu acordul pacientului.