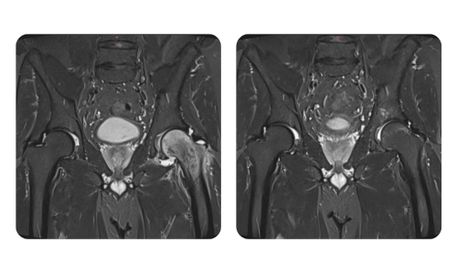
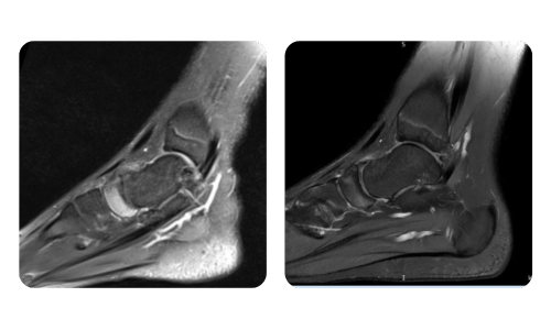
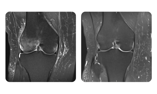
Progresul pacienților noștri, măsurat înainte și după terapia hiperbară, reflectă eficiența și impactul pozitiv al tratamentului. Descoperă rezultate documentate ale terapiei hiperbare la clinica Hyperbarium Oradea, bazate pe evaluări clinice și date obiective care evidențiază îmbunătățiri semnificative în diverse afecțiuni.
Fii la curent cu ultimele noutăți din domeniul medicinei hiperbare. Informații medicale corecte, în articole verificate de medici specialiști cu experiență.