Malattie infiammatorie intestinali

Malattie infiammatorie intestinali

Sebbene gli studi su larga scala sull'uso dell'ossigenoterapia iperbarica nelle malattie infiammatorie intestinali siano ancora in fase iniziale, i primi risultati sono promettenti e mostrano che la terapia iperbarica puo aiutare a ridurre dolore, infiammazione e sintomi, offrendo un'opzione terapeutica promettente per i pazienti con malattie infiammatorie intestinali.

Mentre i trattamenti classici basati su corticosteroidi, antinfiammatori e immunomodulatori possono causare effetti collaterali gravi a lungo termine, la terapia iperbarica puo rappresentare una nuova opzione terapeutica, perche agisce sia sull'ipossia tissutale sia sull'infiammazione, con pochissimi effetti collaterali.

Yong Li, Ruizheng Sun, Chen Lai, Kezhen Liu, Huixiang Yang, Ziheng Peng, Duo Xu, Fangling Huang, Keke Tang, Yu Peng, Xiaowei Liu
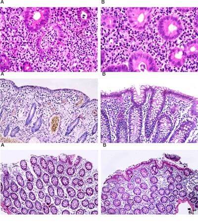
Hyperbaric oxygen therapy ameliorates intestinal and systematic inflammation by modulating dysbiosis of the gut microbiota in Crohn's disease

J Transl Med; . 2024 May 30;22(1):518. doi: 10.1186/s12967-024-05317-1

Marley R. Feitosa, Rogério S. Parra, Vanessa F. Machado, Gustavo N. Vilar, Jussara C. Aquino, José J. R. Rocha, Paulo G. Kotze, Omar Féres
Adjunctive Hyperbaric Oxygen Therapy in Refractory Crohn’s Disease: An Observational Study

First published: 27 April 2021; https://doi.org/10.1155/2021/6628142

Anupam Kumar Singh, Daya Krishna Jha, Anuraag Jena, Praveen Kumar-M, Shaji Sebastian and Vishal Sharma
Hyperbaric oxygen therapy in inflammatory bowel disease: a systematic review and meta-analysis

April 2021European Journal of Gastroenterology & Hepatology Publish Ahead of Print(1S Suppl 1) DOI:10.1097/MEG.0000000000002164

Mohamed Bekheit, Nahed Baddour, Khaled Katri, Yousry Taher, Khaled El Tobgy, Essam Mousa
Hyperbaric oxygen therapy stimulates colonic stem cells and induces mucosal healing in patients with refractory ulcerative colitis: a prospective case series

BMJ Open Gastroenterology 2016;3:e000082. doi: 10.1136/bmjgast-2016-000082

Corine A. Lansdorp, Christianne J. Buskens, Krisztina B. Gecse, Mark Löwenberg, Jaap Stoker, Willem A. Bemelman, Geert R. A. M. D’Haens, Rob A. van Hulst
Hyperbaric oxygen therapy for the treatment of perianal fistulas in 20 patients with Crohn's disease: Results of the HOT-TOPIC trial after 1-year follow-up

First published: 10 February 2022 https://doi.org/10.1002/ueg2.12189

P. S. Dulai, M. W. Gleeson, D. Taylor, S. D. Holubar, J. C. Buckey, C. A. Siegel
Systematic review: the safety and efficacy of hyperbaric oxygen therapy for inflammatory bowel disease

First published: 16 April 2014; https://doi.org/10.1111/apt.12753

Jiu-hong You, Jun-liang Jiang, Wen-bo He, Hui Ma, Mei Zhou, Xin-xin Chen, Qiao-ling Liu, and Cheng Huanga
Addition of hyperbaric oxygen therapy versus usual care alone for inflammatory bowel disease: A systematic review and meta-analysis

Heliyon. 2022 Oct; 8(10): e11007; Published online 2022 Oct 13; DOI: 10.1016/j.heliyon.2022.e11007; PMCID: PMC9583108; PMID: 36276722

Carlos G.Gonzalez; Robert H.Mills; Melissa C. Kordah; Marvic Carrillo-Terrazas; HenrySecaira-Morocho; Christella E. Widjaja; Matthew S. Tsai; Yash Mittal; Brian A. Yee; Fernando Vargas; Kelly Weldon; Julia M. Gauglitz; Clara Delaroque; Consuelo Sauceda; Leigh-Ana Rossitto; Gail Ackermann; Gregory Humphrey; Austin D. Swafford; Corey A. Siegel; Jay C. Buckey Jr.; Parambir S.Dulai
The Host-Microbiome Response to Hyperbaric Oxygen Therapy in Ulcerative Colitis Patients

https://doi.org/10.1016/j.jcmgh.2022.03.008

Corine A Lansdorp, Christianne J Buskens, Krisztina B Gecse, Geert RAM D’Haens and Rob A Van Hulst
Wound healing of metastatic perineal Crohn’s disease using hyperbaric oxygen therapy: A case series

https://doi.org/10.1177/2050640620934915

Badar Hasan MD, Yunjoo Yim MD, Mamoon Ur Rashid MD, Rumman A Khalid MD, Deepika Sarvepalli MD, Daniel Castaneda MD, Asad Ur Rahman MD, Nicole Palekar MD, Roger Charles MD, Fernando J Castro MD, Bo Shen MD
Hyperbaric Oxygen Therapy in Chronic Inflammatory Conditions of the Pouch

Inflammatory Bowel Diseases, Volume 27, Issue 7, July 2021, Pages 965–970, https://doi.org/10.1093/ibd/izaa245; Published: 18 September 2020

Naif Alenazi, Hesham Alsaeed, Adel Alsulami, and Turki Alanzi
A Review of Hyperbaric Oxygen Therapy for Inflammatory Bowel Disease

Int J Gen Med. 2021; 14: 7099–7105; Published online 2021 Oct 24. DOI:10.2147/IJGM.S336678; PMCID: PMC8554584; PMID: 34729019

Bhaskar Kante, Pabitra Sahu, Saurabh Kedia, Sudheer K. Vuyyuru, Kapil Soni, Maneesh Singhal, Raju Sharma, Govind Makharia, Vineet Ahuja
Efficacy and tolerability of hyperbaric oxygen therapy in small bowel stricturing Crohn’s disease: a pilot study

Intestinal Research 2022;20(2):231-239

A Hillary Steinhart, MD, Remo Panaccione, MD, Laura Targownik, MD, Brian Bressler, MD, Reena Khanna, MD, John K Marshall, MD, Waqqas Afif, MD, Charles N Bernstein, MD, Alain Bitton, MD, Mark Borgaonkar, MD, Usha Chauhan, NP, Brendan Halloran, MD, Jennifer Jones, MD, Erin Kennedy, MD, PhD, Grigorios I Leontiadis, MD, PhD, Edward V Loftus, Jr, MD, Jonathan Meddings, MD, Paul Moayyedi, MB, PhD, Sanjay Murthy, MD, Sophie Plamondon, MD, Greg Rosenfeld, MD, David Schwartz, MD, Cynthia H Seow, MBBS (Hons), and Chadwick Williams, MD
Clinical Practice Guideline for the Medical Management of Perianal Fistulizing Crohn’s Disease: The Toronto Consensus

J Can Assoc Gastroenterol. 2018 Dec; 1(4): 141–154; Published online 2018 Sep 14. DOI: 10.1093/jcag/gwy047; PMCID: PMC6542243; PMID: 31799497

Daniel A Rossignol
Hyperbaric oxygen treatment for inflammatory bowel disease: a systematic review and analysis

Medical Gas Research volume 2, Article number: 6 (2012)

Pingrun Chen, Yina Li, Xian Zhang, and Yan Zhang
Systematic review with meta-analysis: effectiveness of hyperbaric oxygenation therapy for ulcerative colitis

Therap Adv Gastroenterol. 2021; 14: 17562848211023394; Published online 2021 Jul 17. DOI: 10.1177/17562848211023394; PMCID: PMC8290506; PMID: 34349835

Jure Krstulović, Goran Augustin, Ivan Romić, Ante Tavra, Franko Batinović Zrinka Hrgović
Hyperbaric Oxygen Therapy in the Treatment of Crohn’s Disease

Submission received: 9 December 2024 / Revised: 7 January 2025 / Accepted: 8 January 2025 / Published: 11 January 2025

Anupam Kumar Singh, Daya Krishna Jha, Anuraag Jena, Praveen Kumar-M, Shaji Sebastian and Vishal Sharma
Hyperbaric oxygen therapy in inflammatory bowel disease: a systematic review and meta-analysis

April 2021European Journal of Gastroenterology & Hepatology Publish Ahead of Print(1S Suppl 1) DOI:10.1097/MEG.0000000000002164