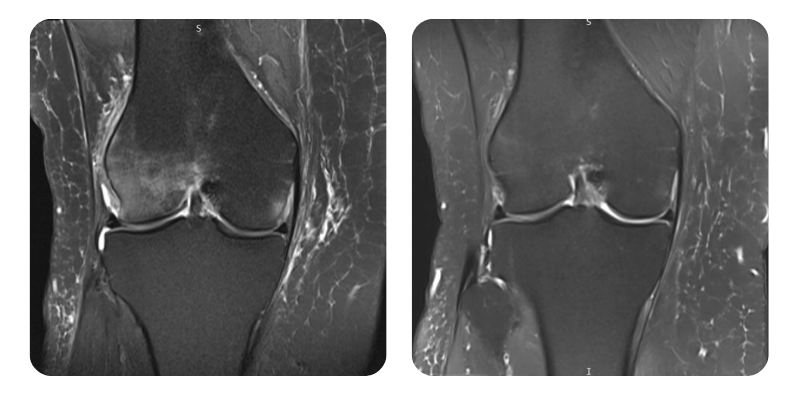
Előtte

Utána

S.M.S., 58 éves – Külső jobb combcsonti condylus nekrózisa/ödémája

Alapinformációk

Beteg neve: S. M. S.
Életkor: 58 év
Nem:
Foglalkozás: -

Orvosi előzmények

Anamnézis: A 58 éves páciens ismert HTA-val, divertikulózissal és korábban kezelt pitvarfibrillációval (jelenleg sinusritmusban). Jobb térdfájdalommal (2/10) érkezik, amely kb. 2 hónapja kezdődött, és az utóbbi 3 hétben fokozódott. A páciens ez idő alatt Flamexin és más NSAID kezelésben részesült.
Családi előzmények: Nem ismertek.

KLINIKAI MEGJELENÉS:

Tünetek: 2/10 erősségű fájdalom a jobb térdben.
Időtartam: 2 hónap.
Súlyosbító tényezők: Járás.
Enyhítő tényezők: Nincsenek.

Kezelési előzmények:

Jelenlegi gyógyszerek: Nincsenek.
Korábbi kezelések: Flamexin és egyéb NSAID-ok.

Vizsgálatok:

Eredmények: Térd MRI.
Diagnózis: Külső jobb combcsonti condylus nekrózisa/ödémája, korábbi pitvarfibrilláció ablatio után jelenleg sinusritmusban, HTA, divertikulózis.

Kezelési terv:

Ajánlott gyógyszer: Nem került felírásra.
Terápiás beavatkozások: 20 alkalom hiperbár oxigénterápia.

LEFOLYÁS ÉS PROGNÓZIS:

Lefolyás: MRI-vizsgálaton kb. 90%-os ödémacsökkenés figyelhető meg.

VÉGSŐ MEGJEGYZÉSEK:

A klinikai állapottal összevetve a páciens gyógyultnak tekinthető.



*A tanulmány adatai bizalmasak, és a páciens beleegyezésével kerültek felhasználásra.