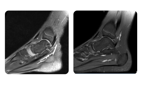
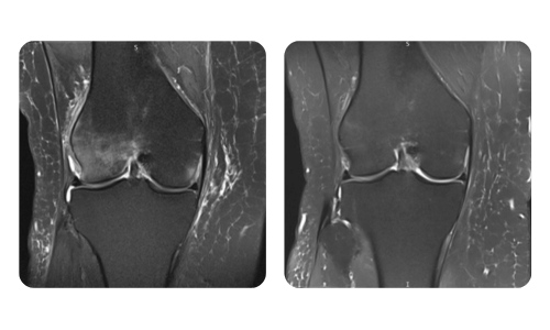
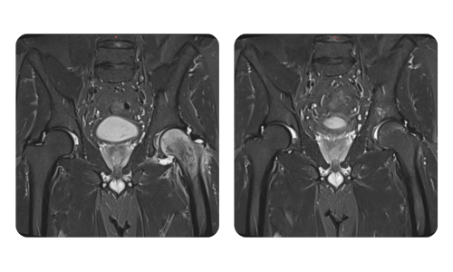
Betegeink előrehaladása, amelyet a hiperbár terápia előtt és után mértünk, tükrözi a kezelés hatékonyságát és pozitív hatását. Fedezze fel a Hyperbarium Oradea hiperbár terápiájának dokumentált eredményeit, amelyek klinikai értékeléseken és objektív adatokon alapulnak, és jelentős javulásokat mutatnak különböző állapotokban.
Maradjon naprakész a hiperbár-terápia területének újdonságait illetően. Helytálló egészségügyi információk, tapasztalt szakorvosok által ellenőrzött bejegyzésekben.